Visualization of the anterior chamber angle is essential for the diagnosis and management of glaucoma. Gonioscopy has traditionally been the gold standard for angle evaluation because it enables direct examination of the angle structures, use of dynamic gonioscopy to distinguish occludable from synechial closure, and assessment for other pathologic changes. A review of Medicare claims data revealed that gonioscopy may be significantly underperformed,1 and even when performed, gonioscopy findings can be unreliable if too much pressure or illumination is applied. Anterior-segment imaging has evolved in recent years to provide high-resolution images that allow for qualitative and quantitative analysis of the anterior chamber and angle.2 Depending on the type of image acquired, anterior-segment imaging may also have advantages over gonioscopy, such as being noncontact or being able to visualize structures posterior to the iris. This article will focus on anterior-segment optical coherence tomography (AS-OCT) and ultrasound biomicroscopy (UBM) as they apply to glaucoma.
Anterior-segment Optical Coherence Tomography
Anterior-segment imaging with OCT has been performed for nearly as long as its posterior-segment counterpart,3 but its adoption into clinical practice has been much slower. The first commercially available AS-OCTs were time-domain OCTs, including the Visante OCT (Carl Zeiss Meditec), and they use a wavelength of 1,310 nm compared to the 800-900 nm wavelength for posterior-segment OCT. This enables imaging of the anterior chamber angle by increasing tissue penetration through the sclera and reducing signal scattering.2,3 The later introduction of spectral-domain OCT (SD-OCT) devices, including the Cirrus HD-OCT (Carl Zeiss Meditec), Spectralis (Heidelberg), and the RTVue FD-OCT (Optovue), has improved image acquisition speeds and resolution.
One limitation to widespread use of AS-OCT is the ability to identify the scleral spur (SS), which is an important landmark for measuring the anterior-chamber angle.4 Studies have found that the SS could be found in only 71% of quadrants on Visante OCT, and that percentage increased to 78.9% of quadrants on SD-OCT.5,6 Swept-source OCT, commercially available as the Casia OCT (Tomey), uses the same Fourier-domain technology as SD-OCT but has improved ability to visualize the SS and Schwalbe line.4,7
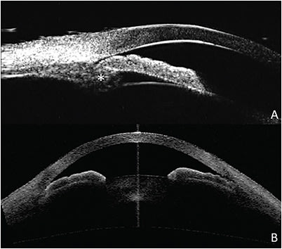
Potential clinical uses of AS-OCT include distinguishing open from closed angles, evaluating risk factors that may contribute to angle closure or predict progression to glaucoma, and assessing the effects of therapeutic interventions. Qualitative definitions and quantitative parameters have been established to allow evaluation of OCT for these purposes. A closed angle is one in which there is iridocorneal contact anterior to the SS (Figure 1).5,8 For quantitative assessment of the angle, an assumption is made that the trabecular meshwork is located approximately 500 µm to 750 µm anterior to the SS, and this is the basis for the parameters of the angle opening distance (AOD) 500 and 750, trabecular iris space area (TISA) 500 and 750, and angle recess area (Figure 2).4 Additional measurements of the anterior chamber (eg, anterior-chamber depth and width), lens (eg, lens vault [LV]), and iris (eg, iris thickness, iris curvature) have been defined as well.9 Multiple studies have evaluated the agreement of these parameters between different OCT devices. Angle measurements tend to be correlated but have poor agreement when time-domain and spectral-domain devices are compared with swept-source; therefore, they are not considered interchangeable.7,10-12
Studies have compared the performance of OCT against gonioscopy. Sakata et al recruited participants without any prior ophthalmic history and found that 33% of eyes by gonioscopy and 59% of eyes by OCT had angle closure in at least 1 quadrant, with fair agreement (κ=.40) between the 2 methods.13 Tun et al showed a higher rate of agreement (κ=.59) in a cohort of glaucoma patients, with OCT correctly classifying 68% of angles that were found to be closed on gonioscopy. This resulted in an area under the curve (AUC) of 0.86 when 2 or more quadrants were closed, which corresponded to a sensitivity and specificity of 83% and 78%, respectively.8 When quantitative parameters rather than qualitative assessment are used to distinguish open from closed angles, the AOD750 was found to have the best performance with optimal sensitivities and specificities of 82.5% and 84.0% for the nasal quadrant and 90.2% and 77.4% for the temporal quadrant.14 Consistent with these relatively lower specificities, OCT was found to have an approximately 15% false positive rate, with false positives associated with greater anterior chamber depth and smaller LV.15 Reasons for this may include differences in the degree of iridotrabecular contact needed to consider an angle closed on gonioscopy vs OCT as well as possible variations in gonioscopy examination technique.13
In addition to its potential for distinguishing open from closed angles, AS-OCT also may be useful for helping determine which eyes will progress to primary angle closure disease (PACD). Jiang et al determined that in a Chinese population, progression to a narrow angle was associated with a smaller AOD750 and TISA750, a larger maximum iris thickness, and a smaller light-to-dark change in iris area and anterior chamber area.16 Quigley et al found a similar tendency of angle closure eyes to have a smaller decrease in iris cross-sectional area on OCT for each millimeter of pupil dilation, suggesting that a contributing factor to angle closure may be a lesser tendency for the iris to lose volume with dilation.17 Discussion with patients who have PACD often centers around the risk of acute primary angle closure (APAC), and OCT may be able to guide who is at greatest risk of developing this condition. When eyes that have sustained APAC were compared to the fellow eyes of the same patients, smaller anterior-chamber depth (ACD) and anterior-chamber area (ACA), greater LV, smaller iris curvature, and smaller iris thickness were found in the APAC eyes.18 Similar results were obtained when patients who had unilateral phacomorphic angle closure were compared to a cohort with unilateral mature cataract but no glaucoma. Interestingly, the lens vault but not the lens thickness demonstrated a significant difference between these eyes, emphasizing the role of the lens vault in developing angle closure.9
When therapeutic interventions are undertaken, OCT can provide insights into the mechanisms of action and potential predictors of success. The Zhongshan Angle Closure Prevention Trial showed that when one eye is treated with laser peripheral iridotomy (LPI), both the treated and untreated eyes demonstrated an increase in all angle parameters 2 weeks after the procedure. Over the subsequent 18 months, the angle narrowed irrespective of receiving an LPI; however, the LPI eyes narrowed at a significantly slower rate.19 Optical coherence tomography has also been used to find angle parameters that may help predict IOP lowering following cataract surgery. Huang et al reported that IOP reduction is significantly associated with an increase in AOD500 after phacoemulsification,20 which suggests that the opening of the angle is a mechanism by which IOP is lowered.21 In both normal and glaucomatous eyes, preoperative LV was also found to be a significant predictor of IOP reduction. Narrow-angle eyes, with their larger LV, have been shown to have a greater IOP response after cataract surgery, but these studies extended the contribution of LV to open-angle eyes with and without glaucoma.20,22 Beyond phacoemulsification, OCT has been used to study successful bleb morphology after trabeculectomy and Xen gel stent (Allergan/Abbvie) implantation, with the presence of a large internal fluid-filled cavity, extensive hyporeflective area, and thicker bleb wall with more microcysts associated with sustained IOP lowering.23,24 Optical coherence tomography may also help identify characteristics of trabeculectomy failure, such as encapsulation, before they are apparent on clinical exam, enabling early intervention to improve the outcome.25
Ultrasound Biomicroscopy
Ultrasound biomicroscopy is another technique for imaging the anterior segment that uses ultrasound frequencies in the 35 MHz to 100 MHz range, which is significantly higher than the frequency used for traditional B-scan ultrasound. The benefit is improved image resolution at the expense of how deeply UBM can scan into the eye. UBM images are acquired with the patient in the supine position using a transducer and a water bath or coupling agent placed into an eyecup situated in the interpalpebral fissure.26 Compared to OCT, which is noncontact and performed while sitting upright, UBM is more cumbersome to obtain and less comfortable for the patient. OCT yields a higher resolution scan, but UBM allows visualization of the ciliary body and structures behind the iris.27
Many of the angle parameters that can be measured on OCT can also be assessed with UBM, with some additional ones such as iris-lens contact distance (ILCD) and trabecular-ciliary process distance (TCPD) made possible by the increased depth of imaging.28 UBM has demonstrated a similar sensitivity, specificity, and AUC as OCT for distinguishing narrow from open angles, but values between the 2 modalities show poor agreement for individual measurements.29,30 Because of the ability to image the ciliary body, UBM serves an important role in diagnosing plateau iris (Figure 3). Ultrasound biomicroscopy studies have shown that plateau iris is present in 32% to 37% of PACD eyes that have undergone LPI, with the condition being more common in younger patients and females. Parameters including AOD500, AOD750, ACD, ACA, TCPD, and ILCD are significantly smaller in plateau iris eyes compared to PACD eyes. Plateau iris is also more likely to be found among eyes with severe PACG and to have a greater extent of peripheral anterior synechiae.31,32 Given the poor diagnostic performance of OCT for detecting plateau iris,33 UBM remains necessary to detect this significant risk factor for more advanced glaucoma.
UBM can also be helpful in the diagnosis and management of cyclodialysis clefts. Hwang et al found that UBM had an advantage over gonioscopy in hypotonous eyes and was able to successfully identify 100% of clefts in their series of 32 patients.34 The typical appearance was a continuous, hypoechoic channel communicating from the anterior chamber to the suprachoroidal space. A technique for using dynamic UBM scanning has also been described to detect cyclodialysis clefts that are challenging to visualize on gonioscopy.35 Alternatively, AS-OCT has been proposed as a superior method for diagnosing clefts compared to either gonioscopy or UBM due to its noncontact nature, which avoids any unintended pressure on a hypotonous eye and compression of the angle.36 Ioannidis et al contend that cleft diagnosis necessitates injecting viscoelastic into the anterior chamber, which diminishes the benefits of a noninvasive technique like UBM or AS-OCT. Once viscoelastic has been instilled, the authors found, gonioscopy is the most accurate way to assess cleft presence and extent.37 Taken together, these studies demonstrate the benefit of a multimodal approach involving gonioscopy and anterior-segment imaging to diagnose and manage cyclodialysis clefts.
Future Directions
Anterior-segment OCT and UBM are important adjuncts to clinical exam for glaucoma diagnosis and management. Optical coherence tomography, in particular, is poised to play a growing role in day-to-day care given its ease of use, but limitations around consistent landmark identification still exist. Further studies can be conducted that explore other anatomic features, such as Schwalbe’s line, that may be more reliably identified.4 Both OCT and UBM are also prime subjects for machine learning, with much of the focus on automated scleral spur identification, measurement of angle parameters, and distinguishing open from closed angles. Results thus far show great promise for machine learning to facilitate interpretation of these images in the clinical setting.38-41 As the technology and our understanding of it continues to advance, anterior-segment imaging may enable ophthalmologists to provide more efficient, cost-effective care to an aging population and address the unmet needs of glaucoma care. GP
References
- Coleman AL, Yu F, Evans SJ. Use of gonioscopy in medicare beneficiaries before glaucoma surgery. J Glaucoma. 2006;15(6):486-493. doi:10.1097/01.ijg.0000212287.62798.8f
- Jancevski M, Foster CS. Anterior segment optical coherence tomography. Semin Ophthalmol. 2010;25(5-6):317-323. doi:10.3109/08820538.2010.518473
- Sharma R, Sharma A, Arora T, et al. Application of anterior segment optical coherence tomography in glaucoma. Surv Ophthalmol. 2014;59(3):311-327. doi:10.1016/j.survophthal.2013.06.005
- Leung CK, Weinreb RN. Anterior chamber angle imaging with optical coherence tomography. Eye (Lond). 2011;25(3):261-267. doi:10.1038/eye.2010.201
- Sakata LM, Lavanya R, Friedman DS, et al. Assessment of the scleral spur in anterior segment optical coherence tomography images. Arch Ophthalmol. 2008;126(2):181-185. doi:10.1001/archophthalmol.2007.46
- Wong HT, Lim MC, Sakata LM, et al. High-definition optical coherence tomography imaging of the iridocorneal angle of the eye. Arch Ophthalmol. 2009;127(3):256-260. doi:10.1001/archophthalmol.2009.22
- Qiao Y, Tan C, Zhang M, Sun X, Chen J. Comparison of spectral domain and swept source optical coherence tomography for angle assessment of Chinese elderly subjects. BMC Ophthalmol. 2019;19(1):142. doi:10.1186/s12886-019-1145-7
- Tun TA, Baskaran M, Tan SS, Perera SA, Aung T, Husain R. Evaluation of the anterior segment angle-to-angle scan of cirrus high-definition optical coherence tomography and comparison with gonioscopy and with the Visante OCT. Invest Ophthalmol Vis Sci. 2017;58(1):59-64. doi:10.1167/iovs.16-20886
- Mansouri M, Ramezani F, Moghimi S, et al. Anterior segment optical coherence tomography parameters in phacomorphic angle closure and mature cataracts. Invest Ophthalmol Vis Sci. 2014;55(11):7403-7409. Published 2014 Oct 21. doi:10.1167/iovs.14-14748
- Angmo D, Singh R, Chaurasia S, Yadav S, Dada T. Evaluation of anterior segment parameters with two anterior segment optical coherence tomography systems: Visante and Casia, in primary angle closure disease. Indian J Ophthalmol. 2019;67(4):500-504.
- Chansangpetch S, Nguyen A, Mora M, et al. Agreement of anterior segment parameters obtained from swept-source fourier-domain and time-domain anterior segment optical coherence tomography. Invest Ophthalmol Vis Sci. 2018;59(3):1554-1561. doi: 10.1167/iovs.17-23574.
- Xu BY, Mai DD, Penteado RC, Saunders L, Weinreb RN. Reproducibility and agreement of anterior segment parameter measurements obtained using the CASIA2 and Spectralis OCT2 optical coherence tomography devices. J Glaucoma. 2017;26(11):974-979. doi:10.1097/IJG.0000000000000788
- Sakata LM, Lavanya R, Friedman DS, et al. Comparison of gonioscopy and anterior segment ocular coherence tomography in detecting angle closure in different quadrants of the anterior chamber angle. Ophthalmology. 2008;115(5):769-774. doi:10.1016/j.ophtha.2007.06.030
- Narayanaswamy A, Sakata LM, He MG, et al. Diagnostic performance of anterior chamber angle measurements for detecting eyes with narrow angles: an anterior segment OCT study. Arch Ophthalmol. 2010;128(10):1321-1327. doi:10.1001/archophthalmol.2010.231
- Porporato N, Baskaran M, Tun TA, et al. Understanding diagnostic disagreement in angle closure assessment between anterior segment optical coherence tomography and gonioscopy. Br J Ophthalmol. 2020;104(6):795-799. doi:10.1136/bjophthalmol-2019-314672
- Jiang Y, Wang W, Wang L, He M. Association of anterior segment parameters and 5-year incident narrow angles: findings from an older Chinese population. Br J Ophthalmol. 2021;105(7):970-976. doi:10.1136/bjophthalmol-2020-315852
- Quigley HA, Silver DM, Friedman DS, et al. Iris cross-sectional area decreases with pupil dilation and its dynamic behavior is a risk factor in angle closure. J Glaucoma. 2009;18(3):173-179. doi:10.1097/IJG.0b013e31818624ce
- Lee JR, Sung KR, Han S. Comparison of anterior segment parameters between the acute primary angle closure eye and the fellow eye. Invest Ophthalmol Vis Sci. 2014;55(6):3646-3650. Published 2014 May 20. doi:10.1167/iovs.13-13009
- Jiang Y, Chang DS, Zhu H, et al. Longitudinal changes of angle configuration in primary angle-closure suspects: the Zhongshan Angle Closure Prevention Trial. Ophthalmology. 2014;121(9):1699-1705. doi:10.1016/j.ophtha.2014.03.039
- Huang G, Gonzalez E, Lee R, Chen YC, He M, Lin SC. Association of biometric factors with anterior chamber angle widening and intraocular pressure reduction after uneventful phacoemulsification for cataract. J Cataract Refract Surg. 2012;38(1):108-116. doi:10.1016/j.jcrs.2011.06.037
- Masis Solano M, Lin SC. Cataract, phacoemulsification and intraocular pressure: Is the anterior segment anatomy the missing piece of the puzzle?. Prog Retin Eye Res. 2018;64:77-83. doi:10.1016/j.preteyeres.2018.01.003
- Hsia YC, Moghimi S, Coh P, Chen R, Masis M, Lin SC. Anterior segment parameters as predictors of intraocular pressure reduction after phacoemulsification in eyes with open-angle glaucoma. J Cataract Refract Surg. 2017;43(7):879-885. doi:10.1016/j.jcrs.2017.03.044
- Kawana K, Kiuchi T, Yasuno Y, Oshika T. Evaluation of trabeculectomy blebs using 3-dimensional cornea and anterior segment optical coherence tomography. Ophthalmology. 2009;116(5):848-855. doi:10.1016/j.ophtha.2008.11.019
- Dangda S, Radell JE, Mavrommatis MA, et al. Open conjunctival approach for sub-Tenon’s Xen gel stent placement and bleb morphology by anterior segment optical coherence tomography. J Glaucoma. 2021;30(11):988-995. doi:10.1097/IJG.0000000000001929
- Waibel S, Spoerl E, Furashova O, Pillunat LE, Pillunat KR. Bleb morphology after mitomycin-C augmented trabeculectomy: comparison between clinical evaluation and anterior segment optical coherence tomography. J Glaucoma. 2019;28(5):447-451. doi:10.1097/IJG.0000000000001206
- Dada T, Gadia R, Sharma A, et al. Ultrasound biomicroscopy in glaucoma. Surv Ophthalmol. 2011;56(5):433-450. doi:10.1016/j.survophthal.2011.04.004
- Ishikawa H. Anterior segment imaging for glaucoma: OCT or UBM?. Br J Ophthalmol. 2007;91(11):1420-1421. doi:10.1136/bjo.2007.121038
- Chansangpetch S, Rojanapongpun P, Lin SC. Anterior segment imaging for angle closure. Am J Ophthalmol. 2018;188:xvi-xxix. doi:10.1016/j.ajo.2018.01.006
- Radhakrishnan S, Goldsmith J, Huang D, et al. Comparison of optical coherence tomography and ultrasound biomicroscopy for detection of narrow anterior chamber angles. Arch Ophthalmol. 2005;123(8):1053-1059. doi:10.1001/archopht.123.8.1053
- Mansouri K, Sommerhalder J, Shaarawy T. Prospective comparison of ultrasound biomicroscopy and anterior segment optical coherence tomography for evaluation of anterior chamber dimensions in European eyes with primary angle closure. Eye (Lond). 2010;24(2):233-239. doi:10.1038/eye.2009.103
- Mansoori T, Sarvepally VK, Balakrishna N. Plateau iris in primary angle closure glaucoma: an ultrasound biomicroscopy study. J Glaucoma. 2016;25(2):e82-e86. doi:10.1097/IJG.0000000000000263
- Nongpiur ME, Verma S, Tun TA, Wong TT, Perera SA, Aung T. Plateau iris and severity of primary angle closure glaucoma. Am J Ophthalmol. 2020;220:1-8. doi:10.1016/j.ajo.2020.07.033
- Wanichwecharungruang B, Pattanapongpaiboon W, Kongsomboon K, Parivisutt N, Annopawong K, Seresirikachorn K. Diagnostic performance of anterior segment optical coherence tomography in detecting plateau iris. BMJ Open Ophthalmol. 2022;7(1):e000931. doi:10.1136/bmjophth-2021-000931
- Hwang JM, Ahn K, Kim C, Park KA, Kee C. Ultrasonic biomicroscopic evaluation of cyclodialysis before and after direct cyclopexy. Arch Ophthalmol. 2008;126(9):1222-1225. doi:10.1001/archopht.126.9.1222
- Gupta S, Selvan H, Agrawal S, Gupta V. Dynamic gonioscopy and ultrasound biomicroscopy for diagnosis of latent or low-lying cyclodialysis clefts. Clin Exp Ophthalmol. 2018;46(8):960-962. doi:10.1111/ceo.13316
- Gross JB, Davis GH, Bell NP, Feldman RM, Blieden LS. Surgical repair of large cyclodialysis clefts. Eur J Ophthalmol. 2017;27(3):382-385. doi:10.5301/ejo.5000868
- Ioannidis AS, Bunce C, Barton K. The evaluation and surgical management of cyclodialysis clefts that have failed to respond to conservative management. Br J Ophthalmol. 2014;98(4):544-549. doi:10.1136/bjophthalmol-2013-303559
- Li W, Chen Q, Jiang C, Shi G, Deng G, Sun X. Automatic anterior chamber angle classification using deep learning system and anterior segment optical coherence tomography images. Transl Vis Sci Technol. 2021;10(6):19. doi:10.1167/tvst.10.6.19
- Wang W, Wang L, Wang T, et al. Automatic localization of the scleral spur using deep learning and ultrasound biomicroscopy. Transl Vis Sci Technol. 2021;10(9):28. doi:10.1167/tvst.10.9.28
- Wang W, Wang L, Wang X, Zhou S, Lin S, Yang J. A deep learning system for automatic assessment of anterior chamber angle in ultrasound biomicroscopy images. Transl Vis Sci Technol. 2021;10(11):21. doi:10.1167/tvst.10.11.21
- Xu BY, Chiang M, Pardeshi AA, Moghimi S, Varma R. Deep neural network for scleral spur detection in anterior segment OCT images: the Chinese American Eye Study. Transl Vis Sci Technol. 2020;9(2):18. doi:10.1167/tvst.9.2.18







